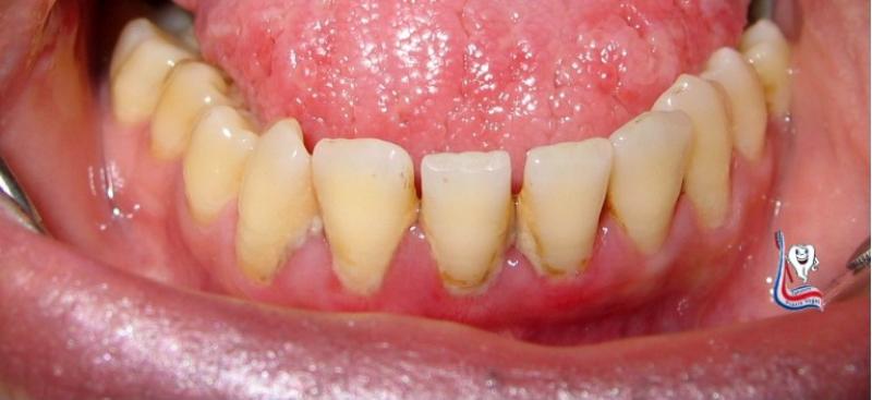
Zahnfleischbehandlung
Parodontitis ist eine durch Bakterien hervorgerufene entzündliche Veränderung des Zahnfleisches und des Kieferknochens. Sie zählt zu den häufigsten Infektionskrankheiten der Mundhöhle. Für den Ausbruch der Erkrankung können jedoch nicht nur die Bakterien allein verantwortlich gemacht werden. Es gibt viele Risikogruppen, die eher einer Zahnfleischerkrankung ausgesetzt sind, als andere:
Risikogruppen
- Raucher (oft verläuft die Parodontitis ohne das typische
Zahnfleischbluten)
-Patienten mit Abwehrschwächen
-Patienten, die Bluthochdruckmittel einnehmen müssen
-Chronisch kranke Patienten (Diabetiker, Rheumatiker, Allergiker,
Herz- und Kreislaufkranke)
-Schwangere
-übergewichtige Patienten
-Patienten, die beruflich oder privat stark belastet sind
-Ältere Patienten
Therapie
Nach der Vorreinigung der Zahnfleischtaschen ist das Hauptziel der Behandlung, den so genannten Biofilm, der die Parodontitis-Bakterien enthält, zu entfernen. Dies geschieht durch eine Wurzelglättung. Bei dieser "Tiefenreinigung" arbeitet Zahnarzt unter dem Zahnfleisch. Mit kleinen Instrumenten werden die Wurzeln gereinigt, geglättet und poliert. Dadurch wird eine glatte Oberfläche geschaffen, an der sich Beläge schlechter anheften können. Die Wurzelreinigung wird unter örtlicher Betäubung durchgeführt, somit verläuft die Behandlung völlig schmerzfrei.

Terminvereinbarung:
0561 13 9 22
Geöffnet:
Mo.: 8-13 & 15-18
Di.: 8-13 & 15-18
Mi.: 8-13
Do.: 8-13 & 15-18
Fr.: 8-13 & 15-17

